广元市第一人民医院
神经外科项目
荣获第七届全国
医学3D打印技术与临床应用创新大赛
三等奖
近日,第七届全国医学3D打印技术与临床应用创新大赛在河南郑州圆满落幕。广元市第一人民医院神经外科郑攀主治医师领衔申报的《重塑“生命穹顶”——3D打印个性化颅骨缺损保护帽的临床创新与应用》项目,凭借突出的临床创新性与浓厚的人文关怀,从众多优秀作品中脱颖而出,荣获全国三等奖,标志着医院在医学3D打印临床应用与科研创新领域迈上了新台阶。


聚焦临床痛点 破解颅骨缺损患者的“空窗期”困境
对于因严重颅脑损伤或脑出血而行去骨瓣减压术的患者而言,术后至颅骨修补手术前的1-3个月是尤为脆弱且焦虑的时期,医学上称之为“空窗期”。此阶段,患者颅骨存在大面积缺损,大脑仅靠头皮保护,不仅面临外力冲击导致二次损伤的高风险,还可能并发硬膜下积液等并发症。传统通用型保护头盔普遍存在贴合度差、易压迫头部、闷热不透气、外观不美观等诸多不足,不仅影响患者佩戴体验,更加重了其心理负担。

广元市第一人民医院3D打印创新研究中心
创新解决方案 从“通用防护”到“精准个体化守护”
为破解这一难题,神经外科郑攀医师团队创新性地将3D打印技术应用于颅骨缺损的临时性防护。团队通过采集患者术后的薄层CT数据,利用三维重建与AI智能技术,为每一位患者“量体裁衣”,精准打印出与其颅骨缺损形态完美契合的个性化保护帽。
该保护帽采用医用级树脂材料,重量仅约60克,质地轻薄,并设计有蜂窝状透气孔。相比传统头盔,它具有“轻、薄、透、美”的显著优势:佩戴更舒适稳定,压力分布均匀;防护更安全可靠,能有效分散外力冲击;外观更贴合自然,极大尊重了患者的尊严与社交需求,显著缓解了其心理压力。

技术落地生花 临床实践验证卓越效果
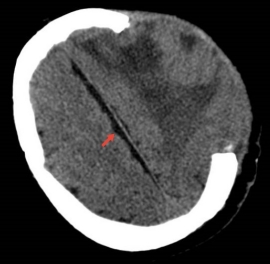
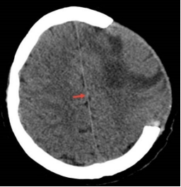
目前,该项目已成功应用于多位患者。临床案例显示,此个性化保护帽不仅提供了优异的外部防护,还在一定程度上辅助稳定了颅内环境,对促进硬膜下积液吸收、为二期手术创造良好条件展现出积极效果。患者满意度调查结果显示,其在舒适度、安全感和便利性方面均获得高度评价。

颅骨保护网板1:1

颅骨缺损保护帽佩戴效果


佩戴2周后硬膜下积液消失
以创新赋能医疗 用温度守护健康
该项目将前沿数字化技术与临床康复实际需求紧密结合,填补了颅骨缺损患者系统性康复管理中的实用工具空白。目前,相关技术已申报国家专利,团队正持续优化技术方案,力求进一步提升服务质量。
此次获奖,不仅是对项目团队技术创新能力的肯定,更是对医院坚持“以患者为中心”,推动精准医疗与人文关怀深度融合服务理念的认可。未来,广元市第一人民医院神经外科团队将继续深化3D打印技术在临床各领域的探索与应用,致力于将更多科技创新成果转化为提升医疗质量、改善患者体验的实际举措,为广大人民群众的生命健康保驾护航,为医院的高质量发展注入强劲的科技创新动力。

友情链接:
医院地址: 四川省广元市利州区苴国路中段
急救电话: 0839-3333333 0839-3302410
咨询电话: 0839-3300000 0839-3303712(门诊时间:8:00-16:30) 13881210072(夜间及节假日)
投诉电话: 0839-3314229(8:00-17:30) 13881210072(夜间及节假日)
市卫健委纪检组举报电话:0839-3223557
版权©2026 广元市第一人民医院
网站访问量: 18631321 次
![]() 官方微信 |