近日,广元市第一人民医院心血管内科一病区陈玺全主任团队凭借精准微创技术,再次成功为一名72岁二尖瓣大量反流的女性患者完成经导管二尖瓣“缘对缘”修复术(TEER)。这是医院在短期内完成的第3例高难度TEER手术,且3例手术均实现了“低并发症、高成功率”的目标,标志着医院心脏瓣膜疾病微创治疗技术日臻成熟,达到国内先进水平,凸显了医院在结构性心脏病微创介入治疗领域的技术优势,将为区域心脏瓣膜疾病患者提供更安全、更高效的微创治疗选择。

高龄重症求医 多学科精准施策
该患者反复胸痛、胸闷两年,因近两周症状加重前往市第一人民医院就诊。此前,患者曾于外院就诊,经冠脉造影诊断为冠心病,对症治疗后症状未获明显改善。此次入院,心脏彩超检查提示:左心室射血分数(LVEF)47%,双房大,二尖瓣大量反流。
考虑到患者年龄较大、基础疾病较多,传统开胸手术风险极大,心血管内科一病区团队迅速启动多学科协作机制,联合超声医学科、麻醉科等专业力量,全面评估患者病情后,决定采用经导管二尖瓣“缘对缘”修复术(TEER)这一前沿微创技术为其治疗。
TEER被称为心脏瓣膜病治疗的“精准微创术”,无需开胸、无需体外循环,仅通过股动脉穿刺建立微小通道,在经食道超声的实时精准引导下,精准抓取二尖瓣前后叶,将特制修复器械送入心脏,完成“边对边”的缝合固定,从根源上减少瓣膜反流。
治疗团队向患者及家属详细讲解该手术方案,征求其同意后,敲定择期手术。
精准微创施治 技术破解难题

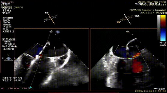
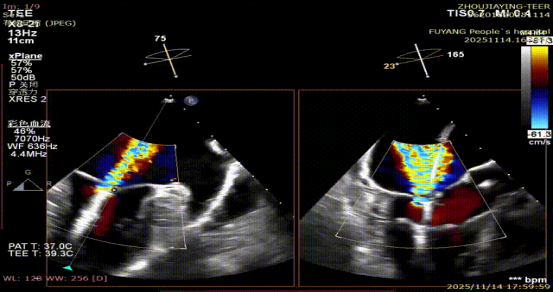
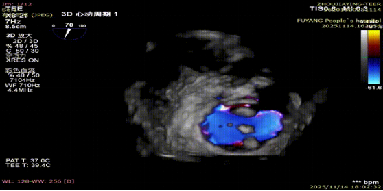
手术当日,在全身麻醉及TEE全程导航下,陈玺全副主任团队凭借丰富的临床经验与精湛操作技巧,顺利完成房间隔穿刺、瓣叶精准定位等关键步骤。针对患者二尖瓣A2/P2 区域反流靶点,团队精准夹合瓣叶,经X-plane技术与三维超声反复确认夹持质量后,成功释放一枚MitraClip XTR夹子。术后即时评估显示,患者二尖瓣反流由术前3 +重度降至轻度,平均跨瓣压仅3mmHg,手术达到预期效果,全程无并发症发生。


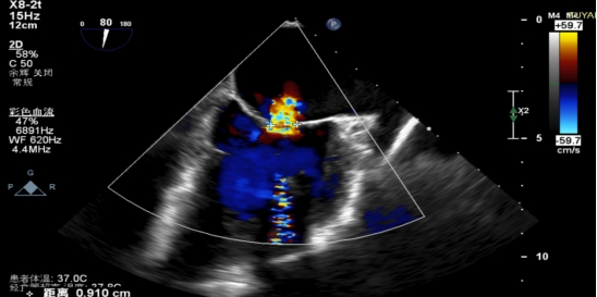
术前MR反流

术后平均跨瓣压差3mmHg

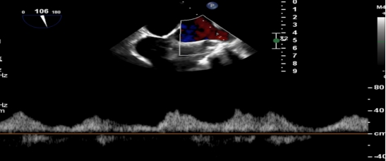
术后PV前向改善
术后快速康复 患者高度认可
术后第二天,患者顺利返回普通病房,并可自主下床活动,进食、睡眠等生活状态逐步恢复正常。术后超声显示残余轻度反流,肺静脉血流恢复正常,患者症状较前明显改善,活动耐量提升,生活质量显著提高。术后1周,患者各项生命体征平稳,顺利康复出院。“没想到不用开胸就解决了这个大毛病,还能恢复这么快、这么好!”出院当天,患者及家属对手术效果和就医体验给予高度评价,并衷心感谢医护人员的专业诊疗和无微不至的关怀照护。
深耕技术创新 筑牢健康屏障
广元市第一人民医院作为区域心血管疾病诊疗标杆,始终以“技术革新守护生命健康”为核心使命,持续深耕先进医疗技术,组建由多位专家领衔的专项技术团队,不断打磨微创诊疗技艺。连续三例高难度TEER手术的成功实施,彰显了心血管内科团队在复杂心脏手术中的精准操作能力与多学科协作水平,也让微创、高效的治疗方案惠及到了更多患者。未来,医院将继续聚焦心血管疾病诊疗前沿,深化技术创新与学科建设,以更精湛的医术、更优质的服务,为川陕甘毗邻地区广大群众的心脏健康筑起坚实屏障。
友情链接:
医院地址: 四川省广元市利州区苴国路中段
急救电话: 0839-3333333 0839-3302410
咨询电话: 0839-3300000 0839-3303712(门诊时间:8:00-16:30) 13881210072(夜间及节假日)
投诉电话: 0839-3314229(8:00-17:30) 13881210072(夜间及节假日)
市卫健委纪检组举报电话:0839-3223557
版权©2026 广元市第一人民医院
网站访问量: 18631321 次
![]() 官方微信 |