脊柱病痛如枷锁般束缚生活,当传统治疗深陷精准度不足与创伤性较大的两难困境,广元市第一人民医院骨科医学正以技术革新打破桎梏——脊柱UBE微创技术携手3D打印精准医疗,以“微创+定制”双轮驱动,为脊柱疾病患者重塑健康脊梁,让每一次治疗都成为精准医疗的生动实践。

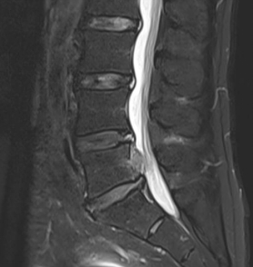
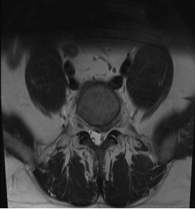
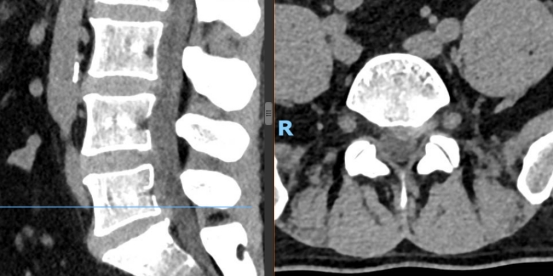
近日,医院脊柱创伤外科副主任黄小俊带领团队运用前沿3D打印技术与双通道内镜技术(Unilateral Biportal Endoscopy,UBE)实施微创手术,成功为一名腰椎间盘突出患者解除病痛。此次手术的成功开展,实现了医院脊柱外科微创领域的又一技术突破,标志着医院在脊柱外科领域迈上了新的台阶,为区域内脊柱疾病患者带来了全新的治疗选择与康复希望。




脊柱,作为人体的“生命支柱”,不仅承载着身体重量、保障肢体活动灵活度,更关联着神经传导、脏器保护等关键生理功能。然而,受年龄增长、长期劳损、意外外伤、先天发育异常等多种因素影响,脊柱也成为疾病高发的“重灾区”。腰椎间盘突出、腰椎管狭窄、颈椎病、脊柱侧弯等问题,轻则引发颈肩腰腿痛、肢体麻木,重则影响行走功能,甚至压迫神经,危及健康,给患者的生活与工作带来沉重负担。传统脊柱手术往往面临创伤大、出血多、恢复慢、精准度有限等痛点,让许多患者对治疗望而却步;而传统的微创技术,在复杂脊柱病例的精准适配性上,也难以完全满足临床需求。
如今,随着骨科医学的飞速发展,脊柱UBE(双通道内镜技术)与3D打印技术的创新融合,彻底改变了脊柱疾病的治疗格局。
脊柱UBE技术:微创诊疗的“精准镜手”

作为目前骨科领域领先的脊柱微创技术,UBE技术通过建立两个直径仅0.5—0.7cm的微小通道,将内镜、操作器械分别置入。医生可通过高清内镜画面,清晰观察脊柱内部的病变组织——无论是突出的椎间盘、狭窄的椎管,还是增生的骨赘,都能在放大视野下一目了然。相较于传统开放手术,UBE技术实现了“小切口解决大问题”:术中出血极少,创伤面积不足传统手术的1/5,术后疼痛轻,患者可快速下床活动,住院时间缩短至3—5天,极大降低了术后感染、粘连等并发症风险,尤其适用于腰椎间盘突出症、腰椎管狭窄症等常见及复杂脊柱疾病,让脊柱治疗告别“大动干戈”,迈入微创精准诊疗时代。

3D打印技术:定制治疗的“私人裁缝”


如果说UBE技术是脊柱治疗的“精准镜手”,那么3D打印技术就是定制化治疗的“私人裁缝”。针对每一位脊柱疾病患者的个体差异,医生通过高精度CT扫描,获取患者脊柱的三维立体数据,利用3D打印技术1:1还原脊柱的解剖结构——从椎体形态、椎间盘位置,到神经走行、病变范围,都能精准复刻,形成专属的脊柱模型。基于此模型,医生术前可以进行精准规划:模拟手术路径、预判操作风险、选择适配的内固定器械,甚至打印定制化的椎间融合器、内固定支架,确保手术操作“有的放矢”,贴合患者的个体解剖特征,避免传统手术中“凭经验操作”的不确定性,让脊柱治疗从“标准化”走向“个性化”,极大提升了手术的精准度与安全性。
UBE+3D打印:1+1>2的治疗新突破
当UBE微创技术遇上3D打印精准医疗,便形成了“术前精准规划+术中微创操作+术后快速康复”的全流程治疗体系,实现了1+1>2的临床疗效突破:
1.术前规划更精准:通过3D打印脊柱模型,医生可直观掌握患者的病变细节,提前设计最佳手术路径,避开神经、血管等重要组织,降低手术风险;
2.术中操作更精准:在UBE高清内镜视野下,结合3D打印模型的术前预判,医生可精准切除病变组织、植入定制化内固定物,减少对正常脊柱结构的损伤;
3.术后恢复更高效:微创创伤叠加精准治疗,患者术后疼痛更轻、恢复更快,能更早回归正常生活与工作,显著提升生活质量。
对于脊柱疾病患者而言,UBE联合3D打印技术的应用,不仅意味着更少的创伤、更短的恢复周期,也意味着更安全、更有效的治疗保障,尤其适合老年患者、体质虚弱者以及追求快速康复的年轻患者。
广元市第一人民医院骨科团队始终坚守“精研技术、守护健康”的初心,持续深耕脊柱疾病精准诊疗领域,将UBE联合3D打印技术广泛应用于临床实践,转化为实实在在的临床疗效,以更精湛的诊疗水平、更优质的医疗服务,为区域内群众的脊柱健康保驾护航。
友情链接:
医院地址: 四川省广元市利州区苴国路中段
急救电话: 0839-3333333 0839-3302410
咨询电话: 0839-3300000 0839-3303712(门诊时间:8:00-16:30) 13881210072(夜间及节假日)
投诉电话: 0839-3314229(8:00-17:30) 13881210072(夜间及节假日)
市卫健委纪检组举报电话:0839-3223557
版权©2026 广元市第一人民医院
网站访问量: 18631321 次
![]() 官方微信 |