一、耳朵里的“心跳声”,并非幻听!
你是否常在安静时,清晰地听到耳朵里传来与心跳节奏一致的“咚咚”声?尤其在躺下、低头或用力时更为明显,甚至影响睡眠?这种“耳内心跳声”在医学上被称为搏动性耳鸣,而乙状窦憩室正是引发它的常见“隐形凶手”之一。

乙状窦是颅骨内负责引流脑部血液的大静脉,憩室则是其管壁因先天薄弱或后天刺激,像气球一样局部鼓出的小囊。这个小囊会导致血流产生异常涡流,声音通过颅骨传到耳朵,便形成了挥之不去的“心跳声”。

二、为何乙状窦憩室会让耳朵“听”到“心跳声”?
关键原因在于血流异常与解剖位置特殊:
1. 乙状窦紧邻中耳和内耳,本身位置就“离耳朵很近”;
2. 憩室形成后,原本顺畅的血流会在小囊里打转、撞击囊壁,产生异常振动;
3. 这种振动通过颅骨直接传递到听觉器官,因与心脏搏动同步,听起来与心跳声一模一样。
简言之:正常血流如同“平稳河流”,憩室使其变为“漩涡”,漩涡的声音恰好被耳朵“听”到。

图3
三、出现这些情况,别仅当“耳鸣”忍忍
乙状窦憩室引发的症状,核心是搏动性耳鸣,但常伴随其他信号,切勿忽视:
1.耳鸣与心跳、脉搏完全同步,按压颈部两侧血管时,耳鸣可能减轻或消失;
2.耳闷、耳胀感明显,低头、弯腰、咳嗽时,耳内“心跳声”会突然变大;
3.部分人可能出现轻微听力下降,或颞部、枕部的胀痛(与血流压力相关);
4.极少数情况下,憩室破裂可能引发头晕、恶心,但这种情况非常罕见。
四、如何确诊?别让“心跳耳鸣”拖成困扰
出现上述症状,切勿自行猜测,及时进行以下两项检查即可明确:

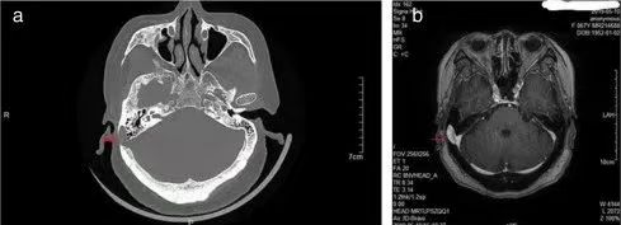
1. 颞骨CT(图5a):快速定位乙状窦憩室的位置、大小,查看是否压迫周围结构,是初步筛查的“首选”;
2. MRI/增强MRI(图5b):更清晰地显示憩室的血流情况,排除其他血管问题(如动静脉瘘),为治疗方案提供依据。
a、b(红色箭头所指为乙状窦憩室)
医生会结合你的症状和检查结果,判断耳鸣是否由乙状窦憩室引起,排除中耳炎、血管畸形等其他问题。
五、有了乙状窦憩室,一定要手术吗?
不一定!治疗核心在于“症状是否影响生活”:
1.无症状/症状轻:只需定期观察,无需特殊处理。平时避免长时间低头、控制血压,减少血流对憩室的冲击即可;
2.症状严重:如耳鸣影响睡眠、工作,或出现听力下降,则需手术。手术原理简单——通过微创方式(多为经乳突入路),用特殊材料“修补”憩室的薄弱处,使血流恢复平稳,耳鸣自然消失。
手术技术成熟,多数患者术后耳鸣能明显减轻甚至完全消失,无需过度担心。
六、结语:别让“耳内心跳声”耗着你
耳朵里的“心跳声”并非小事,也非“上火”“压力大”所能解释。若这种声音已影响睡眠、情绪,切勿硬扛,应及时前往耳鼻喉科检查。
乙状窦憩室并不可怕,早发现、早判断,无论是观察还是手术,都能助你摆脱“心跳耳鸣”的困扰,重新找回安静的耳朵。
耳鼻咽喉科 魏巍
友情链接:
医院地址: 四川省广元市利州区苴国路中段
急救电话: 0839-3333333 0839-3302410
咨询电话: 0839-3300000 0839-3303712(门诊时间:8:00-16:30) 13881210072(夜间及节假日)
投诉电话: 0839-3314229(8:00-17:30) 13881210072(夜间及节假日)
市卫健委纪检组举报电话:0839-3223557
版权©2026 广元市第一人民医院
网站访问量: 18631321 次
![]() 官方微信 |