近日,国家神经疾病医学中心、首都医科大学附属北京天坛医院神经外科学中心李智教授走进广元市第一人民医院神经外科进行了为期三天的深度学术指导与手术交流。
期间,李智教授与医院神经外科团队携手攻坚,成功为三位罹患复杂颅内肿瘤的患者实施了高难度显微手术。此次联合手术是广元市第一人民医院在颅脑肿瘤诊疗领域又一次重要技术成果展示,标志着医院神经外科技术水平正稳步向国内顶尖梯队迈进。
李智教授在显微镜下精细手术
攻坚克难 三天三台手术诠释“精益求精”
此次三台手术病例典型,难度极高,每一台手术都是一场精准博弈,不仅是对术者精准操作技术的严苛检验,更是对其极致耐心、持久体力的多重极限考验。
病例一
复杂听神经瘤:精细“拆弹” 力保神经功能
第一位患者因听神经瘤导致部分听力丧失,肿瘤与负责面部表情的面神经和负责咀嚼功能及面部感觉的三叉神经粘连紧密,手术如同在“生命禁区”里拆除一枚紧贴着关键“线路”的高危炸弹,稍有不慎便会损伤重要血管和神经,风险极高。
在术中神经电生理监测的精准“导航”下,李智教授携手市第一人民医院神经外科团队,以毫米级精度将肿瘤和面听神经、脑干组织、血管等进行“抽丝剥茧”式的分离。经过6小时的精细操作,最终肿瘤被完整切除,患者的面神经与三叉神经功能也得以完好保留,最大限度地避免了术后面瘫、面部麻木等严重并发症,保障了患者术后的生活质量。
李智教授与广元市第一人民医院神经外科团队密切配合

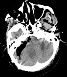
听神经瘤术前核磁 术后CT
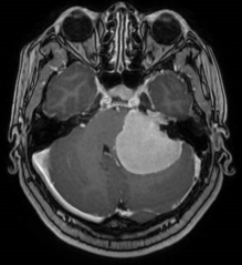
病例二
桥小脑角区巨大脑膜瘤:11小时持久战 守护生命质量
第二位是一例桥小脑角区巨大脑膜瘤患者。该区域解剖结构复杂,密布着重要的颅神经和血管,肿瘤侵蚀内听道及颈静脉孔。手术的核心目标是在全切肿瘤的同时,确保患者神经功能不受损伤。
李智教授神经内镜下进行手术

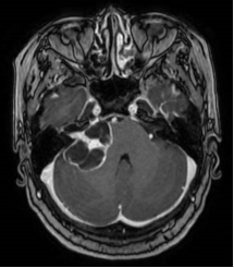
脑膜瘤术前核磁 术后CT
这场手术持续了惊人的11小时。李智教授如同一位技艺超群的“微雕大师”,凭借其丰富的经验和沉稳的掌控力,指导手术团队依托术中电生理监测技术,于显微镜下耐心、细致地将肿瘤从神经和血管上完美剥离,成功实现了肿瘤全切与神经功能保护的双重目标。
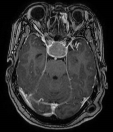
病例三
复杂垂体大腺瘤:神经内镜微创 点亮患者“视界”
第三位患者罹患复杂垂体大腺瘤,肿瘤压迫视神经,导致视力、视野受损严重。针对此病例,李智教授与治疗团队决定采用目前最先进的神经内镜下经鼻蝶入路垂体瘤切除手术。该术式无需开颅,通过鼻腔自然通道直达病灶,创伤小、恢复快。

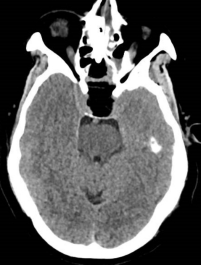
垂体瘤术前核磁 术后CT
手术团队在内镜下精准切除肿瘤,有效解除了对视神经的压迫。术后影像显示肿瘤切除满意,更令人欣喜的是,患者视力也得到了快速恢复,原本模糊的视野逐渐清晰,曾经黯淡的世界被重新点亮。
省级院士工作站赋能
助推诊疗水平跨越式提升
三天攻克三台顶级难度的复杂手术,不仅是对患者生命的庄严承诺,更是李智教授以及整个治疗团队将精益求精、一丝不苟的职业精神坚决贯彻的完美诠释。在连续紧张的联合手术攻坚战中,李智教授手把手带教,毫无保留地分享了国际前沿的手术理念、精准操作技巧与疑难复杂病例的实战经验,为市第一人民医院神经外科团队搭建起从“临床实践”到“顶尖水平”的进阶桥梁,将助力提升区域神经外科综合诊疗能力与水平。
自2023年建成四川省院士工作站以来,医院便以这一高端平台为核心支点,充分发挥进站院士——赵继宗院士及其专家团队的智力支撑、技术积淀与资源优势等多重优势,持续为神经疾病中心的高质量建设注入强劲动能。此次与院士专家团队联合攻克高难度手术的成功实践,再次鲜明凸显了省级院士工作站在高端医疗人才培养与技术水平提升方面的核心价值。它不仅是专家资源下沉的“桥梁”,更是医院突破发展瓶颈、实现技术迭代的“引擎”。通过与国家神经疾病医学中心的权威专家建立常态化、深层次合作机制,广元市第一人民医院正稳步将国内前沿的诊疗技术、科学的管理理念引入本地,打破地域限制,让广大患者“足不出市、足不出省”,在家门口就能享受到与国家高水平医疗同质的医疗服务。
友情链接:
医院地址: 四川省广元市利州区苴国路中段
急救电话: 0839-3333333 0839-3302410
咨询电话: 0839-3300000 0839-3303712(门诊时间:8:00-16:30) 13881210072(夜间及节假日)
投诉电话: 0839-3314229(8:00-17:30) 13881210072(夜间及节假日)
市卫健委纪检组举报电话:0839-3223557
版权©2026 广元市第一人民医院
网站访问量: 18631321 次
![]() 官方微信 |