“有一位颅脑外伤的病人将送到你们科室,请做好准备。”2023年3月2日15点30分,正在值班的神经外科副主任医师朴金伟接到急诊科的电话。5分钟后,一名车祸多发伤女性患者被平车送到神经外科。随即,一场争分夺秒的抢救拉开了序幕。
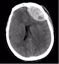
附女士,今年50岁,因车祸头部受伤,意识障碍4小时急诊入院。入院时,患者呈昏迷状,左侧瞳孔散大,头部、腕部、腹部等受伤10余处。急诊CT提示硬膜外血肿,中线移位明显,脑实质明显受压内移,左侧侧脑室受压变窄,病情凶险,手术指征明确。
“脑疝合并多发伤病人,需马上急诊手术!”朴金伟一边下医嘱,一边安排护士老师及联系手术室准备手术。护理团队仅仅耗时15分钟完成了剔头背皮、导尿、抽血、合血等一系列术前准备。
16时5分,神经外科张卫东主任、朴金伟团队急诊全麻下为患者行开颅血肿清除减压术,同时行彩超检查腹腔脏器。经胃肠小儿外科专家会诊后,考虑肠道损伤可能性大,暂时禁食、胃肠减压、抗感染、肠外营养支持、补液等治疗,待颅内手术后再行进一步检查和治疗。
手术历时一个半小时,顺利结束,患者转入重症监护病房进行下一步治疗。

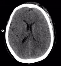
(术后血肿清除彻底)
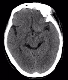
术后第一天,患者意识恢复清醒,复查头部CT提示颅内血肿清除彻底。全腹CT、双腕关节CT显示:肠管管壁明显水肿增厚,邻近肠系膜肿胀,肠间隙模糊,盆腔少量积液,腹腔内未见游离积气,提示肠管或肠系膜损伤;右侧月骨脱位,左侧桡骨远端骨折。
胃肠小儿外科、脊柱创伤外科会诊讨论,确定了分期治疗方案。术后第2天,胃肠小儿外科张达主任医师在全麻下为患者行小肠破裂修补术+腹腔脓肿清除术+肠粘连松解术+肠排列术。脊柱创伤外科薛建康主任医师为患者行左侧桡骨骨质手法复位后石膏外固定,后行右月骨脱位切开复位。


(左侧桡骨远端骨折) (手法复位及石膏外固定后位置良好)

(月骨脱位) (固定术后)
3月6日,患者转入神经外科继续治疗。在医护人员精心护理和治疗下,患者情况日渐好转。
3月13日,患者诉耳鸣,严重影响夜间休息。经医生查体,发现左侧结膜充血水肿加重,考虑有外伤性颈内动脉海绵窦瘘发生。
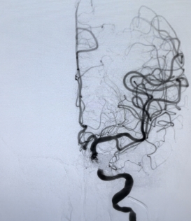
神经外科血管病团队立即为患者进行脑血管造影,分别对颈内动脉、颈外动脉、椎动脉进行造影,同时进行压颈试验,评估血管代偿情况,得出结论:左侧颈内动脉海绵瘘,瘘口流量大,3D旋转不能显示瘘口,向两侧颈内静脉引流,左侧眼静脉粗大,左侧岩下窦显影,前交通动脉代偿良好,后交通动脉代偿差。
全科讨论手术方案后,一致认为要栓塞瘘口并保护好左侧颈内动脉的通畅,遂决定采用静脉途径使用“钢筋混泥土”(同时使用弹簧圈和液体栓塞剂)结构牢牢堵住瘘口。
3月16日13点,张卫东带领团队为患者行颈内动脉海绵窦瘘栓塞术,同时行股动脉、股静脉穿刺,微导管翻山越岭后进入海绵窦。为确保左侧颈动脉不受干扰,于颈动脉内置入球囊予以保护。
在团队的协作下,经过2个多小时惊心动魄的战斗,堵塞瘘口的“钢筋混泥土墙”终于修好啦。
术后患者停用麻药后逐渐清醒,清醒后耳鸣立即消失,结膜水肿缓解。


(左侧眼球突出) (栓塞术后眼球回缩正常,颅内无出血)

(栓塞术前,瘘口流量大,深部静脉危险引流)


(栓塞术后,血管通畅)
“仿佛在鬼门关走了一遭,真的太感谢你们了!”患者感激地说道。术后第7天,患者恢复良好,顺利出院。
车祸外伤往往会导致多个重要脏器的损伤,部分损伤可能不会同时表现,稍有不慎,便会错过最佳治疗时期,因此,医护人员每一次详细观察以及多学科的精准治疗对于患者的康复来说至关重要。
此次救治过程中,神经外科医护人员高度负责,及时察觉到了患者身体出现的不适,同时联合多学科,予以快速处理,让患者得到了科学、及时、全面的救治,有效保护了患者身体各项器官的正常功能,彰显了多学科联合诊疗的优势以及医院急救的综合实力。
知识窗
颈内动脉海绵窦瘘(CCF)是指海绵窦段的颈内动脉或其分支破裂后,动脉血直接流入海绵窦形成的异常动静脉交通,导致海绵窦内的压力增高,继而引起眼眶部、中枢神经系统的相应症状,常常由外伤导致,部分也可是自发的.
常见的临床症状:进行性加重的突眼、眼结膜水肿、视力严重损伤;持续的“耳鸣”,严重影响睡眠;“盗血”导致同侧大脑半球严重灌注不足而出现的偏瘫、偏身感觉障碍、言语障碍;大量鼻出血;颅内压升高,甚至颅内出血。
治疗:血管内介入治疗成为CCF的首选治疗方法。该病一旦诊断往往需要早期手术治疗,最佳治疗目标是阻塞瘘口并保持颈内动脉通畅。
友情链接:
医院地址: 四川省广元市利州区苴国路中段
急救电话: 0839-3333333 0839-3302410
咨询电话: 0839-3300000 0839-3303712(门诊时间:8:00-16:30) 13881210072(夜间及节假日)
投诉电话: 0839-3314229(8:00-17:30) 13881210072(夜间及节假日)
市卫健委纪检组举报电话:0839-3223557
版权©2026 广元市第一人民医院
网站访问量: 18631321 次
![]() 官方微信 |