近日,市第一人民医院神经外科成功完成一例巨大高难度脑血管畸形伴出血病人的复合手术。术后,患者转危为安,神经功能明显改善。
63岁的邢大爷,2016年因脑出血前往市第一人民医院治疗,行颅脑血管CTA发现为脑血管畸形伴出血,血管畸形团大且位置深,受当时条件限制,贸然行畸形血管团切除手术风险极大,故建议患者至上级医院进一步诊治,但患者因经济困难,血肿吸收后就回家休养了。
2021年6月17日,患者再次发生畸形血管破裂出血,且出血量大,入院时处于意识模糊状态,左侧肢体偏瘫,患者危在旦夕。
2020年8月份,由中科院赵继宗院士指导建成的复合手术室正式投入使用,为处理复杂血管疾病提供了可能。科室讨论后,决定对患者施行复合手术,先行介入手术,部分栓塞畸形血管后,再行开颅显微镜下颅内动静脉畸形切除及血肿清除手术。
经过周密计划及充分准备,神经外科团队在复合手术室为患者行脑动静脉畸形栓塞术,术中造影提示:大脑前中后动脉、颈外动脉多重供血,引流静脉粗大并形成深部静脉瘤,按照史氏脑血管畸形分级为4级,也就是最高级别的脑血管畸形。造影后,先行栓塞畸形血管团的主要供应血管:右侧大脑后动脉,因血流量大先在血管畸形内填塞三枚弹簧圈,再通过微导管注入液体栓塞剂,成功将畸形血管团大部栓塞。

△介入栓塞后,行右侧颈总动脉造影提示畸形团明显缩小,供血动脉减少
介入手术结束后,手术医师脱下铅衣又立即投入后续开颅手术中。因大部分血管畸形已栓塞,所以术中失血少,但畸形血管团大、位置深,与周围脑组织粘连紧密,且部分位于功能区,手术仍然面临着不小的挑战。

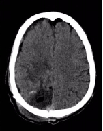
△术后头颅CT显示畸形团切除彻底
手术团队奋战8小时,终于在少量出血的情况下完整切除脑动脉畸形,并清除颅内血肿。
术后患者情况明显改善,神志清晰,左侧肢体肌力恢复至约3-4级,即将出院。
神经外科简介
广元市第一人民医院神经外科是国家住院医师规范化培训基地、国家卫健委脑卒中筛查与防治基地、广元市重点专科。1970年由参与编写《外科学》及《外科手术学》等专著的医院首任院长黄永乐教授组建成科,经过50多年的发展,已建设成为川陕甘结合部一流的神经外科疾病诊治中心。
医护人员27人,其中首都医科大学天坛医院客座教授1人、主任医师4人、副主任医师1人,有硕士研究生2人;中国介入神经外科分会首任委员1人、中国神经肿瘤分会首任委员1人、其他省、市学术团体任职多人。
科室设三个诊疗小组,涵盖神经肿瘤、神经血管、神经介入、神经内镜、功能神经外科、神经损伤、神经脊髓脊柱等亚专业,开展了多项高难度复杂神经外科手术,在颅脑伤救治、脑脊髓肿瘤诊治、脑脊髓血管疾病、血管内介入治疗等领域技术水平区域领先。2018年医院与首都医科大学附属北京天坛医院合作,建立四川省首个赵继宗院士工作站,建设远程手术工作站、神经重症监护室,一大批国内外著名的神经外科专家教授来院指导,开展了神经内镜下巨大浸袭性垂体瘤及颅咽管瘤切除术、帕金森脑深部电极植入术(DBS)、顽固性癫痫迷走神经刺激术(VNS)、复杂胶质瘤全切术、巨大听神经瘤切除术、三叉神经纤维瘤切除术、松果体肿瘤切除术已达国内先进水平,显著提升了神经外科的诊治水平。
咨询电话:0839-3381752
友情链接:
医院地址: 四川省广元市利州区苴国路中段
急救电话: 0839-3333333 0839-3302410
咨询电话: 0839-3300000 0839-3303712(门诊时间:8:00-16:30) 13881210072(夜间及节假日)
投诉电话: 0839-3314229(8:00-17:30) 13881210072(夜间及节假日)
市卫健委纪检组举报电话:0839-3223557
版权©2026 广元市第一人民医院
网站访问量: 18631321 次
![]() 官方微信 |