“医生,谢谢你们,谢谢你们救了我儿子,也救了我们这个家,谢谢你们......”一对朴实的父母眼含热泪,不停地鞠着躬,对着送他们儿子转科的医务人员说到。
“你好,这里是急诊科,有一个猝死经复苏后的患者需要转到你们科室,请做好相关准备.....”2020年9月30日下午接到电话,市第一人民医院重症监护室(ICU)正在值班的何剑成医生和护士迅速准备好了各种抢救设备及药物。
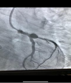
患者男,20岁,跑步时突发心跳停止,前期已经复苏8分钟,电除颤3次,现血流动力学、循环极不稳定,血压60/40mmHg,心率140多次/分,经积极对症处理以后,患者病情相对平稳。但患者对血管活性药物非常敏感,血压可以在换泵的一瞬间跌至冰点,这让有着丰富临床经验的何剑成医生也感到十分困惑。考虑到心脏有器质性病变,何剑成医生果断邀请心血管内科的专家会诊。专家会诊后,建议行冠脉造影。
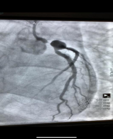
不看不知道,一看真的吓一跳,这下终于找到了患者顽固性低血压的原因。造影结果显示患者左冠脉堵塞严重,需立即放支架,否则随时可能再次发生心跳骤停,而且一旦发生,几乎不可逆转。放支架技术难度相当大,手术台上死亡率高达20%。心血管内科一病区副主任陈玺全明确向家属交代了患者目前的情况以及手术存在的风险,表明该技术在医院已十分成熟,一定会竭尽全力。在征得家属同意后,陈玺全副主任带领手术团队,经过40多分钟的努力,成功为患者实行了心脏支架植入手术。

术后,医务人员面临着又一难题:如何把一个带着呼吸机、氧气筒,带着主动脉内球囊反搏(IABP)、心电监护、数个微泵且病情危重的患者从介入室安全转回ICU 。转运过程风险太高,稍有不慎就会让之前的努力前功尽弃。经过快速合理的任务分配,最后在几位经验丰富的医生护士的默契配合下顺利将患者送回ICU。
窗外的万家灯火在这个特殊的双节里,显得格外的温馨。拖着疲惫饥饿的身躯,大家相视而笑......

回到ICU后,何剑成医生一直守候在病房,为患者制定了一套精准详细的救治方案。在医护人员的悉心照料下,患者情况逐渐好转,血管活性药物减停,停止呼吸机辅助呼吸,撤出IABP,拔管,吸氧.....于10月8日顺利转出ICU。临走之际,患者恳切地说到:“何医生,能不能摘下帽子和口罩,让我看看您,谢谢您的救命之恩。”
在ICU,重症人随时都做好了与病魔赛跑的准备。2020年10月3日一早,全科医学科会诊一患者,基础疾病多,病情不容乐观,血清胆红素高达706.4umol/L,全身皮肤巩膜黄染,球结膜充血水肿,凝血功能异常。情况严峻,经重症医学科医生会诊评估后,大家一致认为为患者进行人工肝治疗是最佳的治疗手段,并立即着手制定治疗方案。
患者转入ICU后,值班护士立即准备好相关的器材顺利上机,科室医生在床旁为患者成功完成置管,短短半个小时就完成了所有操作,手术十分顺利,为患者赢得了最佳治疗时机。

经过积极有效的救治,患者各种异常指标快速恢复正常。目前,患者已顺利下机,血清胆红素降到正常范围,精神状态非常好,已转出ICU进一步治疗。
人工肝(DPMAS)技术,即人工肝血液净化技术,是指血浆置换和血液吸附技术,即溶解在血液中致炎物质或毒素被吸附到具有丰富表面积的固态物质上藉以从血液中清除炎症物质和毒物。该技术利用血液净化技术暂时替代肝脏功能,使肝细胞得以恢复再生,能显著降低急性、亚急性重型肝炎病人的病死率,对于没有干细胞再生能力的慢性重型肝炎病人,人工肝技术也能延缓和有效控制病情,为等待供体赢得时间。
目前,人工肝技术已成为全国各大医院抢救危重病人的有效方法。国内应用的人工肝技术是一整套包含血浆置换、血液透析、血液滤过、血液/血浆灌流、分子吸附循环系统、连续性血液净化治疗等方法联合应用治疗重型肝炎的技术和治疗方法。临床医生根据患者病情选择单用或联合应用以上技术。
自2020年初开展此技术以来,市第一人民医院重症医学科已成功实施数十例。该技术的开展,不仅为肝病患者提供了一种新的治疗手段,也极大提高了危重患者救治率。重症医学科将不断创新技术理念,不断突破,为广大患者尤其是危重患者提供高水平的医疗服务。
作为一名重症人,我们深深感受到了生命的脆弱,病魔的无情,时间的宝贵,也深知我们肩负的重任与职责。我们为挽回每一个生命而自豪、欣慰。守护生命的路程是漫长的,也是艰辛的,但我们重症医学科的全体医护人员将不畏艰辛,持之以恒用爱和责任以及精湛的技术挽救更多的生命!
友情链接:
医院地址: 四川省广元市利州区苴国路中段
急救电话: 0839-3333333 0839-3302410
咨询电话: 0839-3300000 0839-3303712(门诊时间:8:00-16:30) 13881210072(夜间及节假日)
投诉电话: 0839-3314229(8:00-17:30) 13881210072(夜间及节假日)
市卫健委纪检组举报电话:0839-3223557
版权©2026 广元市第一人民医院
网站访问量: 18631321 次
![]() 官方微信 |