国家三级甲等综合医院

国家住院医师规范化培训基地

中国科学院赵继宗院士工作站

四川省院士工作站

急救电话:0839-3333333

患者版
您现在的位置:首页 - 新闻中心 - 医院动态

重获“心”生!市第一人民医院这项微创手术填补区域空白

发布时间:2020-08-19  来源:心血管内科  点击量:295

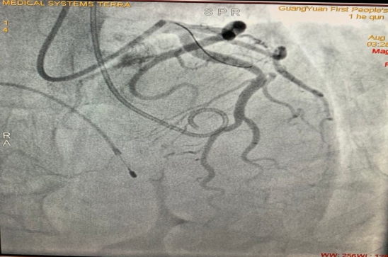
近日,市第一人民医院心血管内科一病区成功为一例厚梗阻型心肌病患者实施经皮穿刺室间隔心肌化学消融术。该手术不开胸、不借助体外循环,手术创口仅几毫米。术后,患者即感胸痛、呼吸困难明显缓解,第二天便可下床活动。

2020081908453308.png 

该手术的成功开展开创了广元地区此种微创方法治疗肥厚梗阻型心肌病的先河,标志着医院在结构性心脏病的介入治疗领域上迈出了坚实的一步。

 

(术前心脏彩超

旺苍县64岁的何女士因反复胸闷、胸痛、晕厥,在多家医院诊治,但上述症状仍未得到缓解,最后多方打听,转到我院治疗。

何女士入院后,心血管内科一病区主任邓小军、副主任陈玺全与超声诊断科副主任邓仕军一同认真分析了该患者的病史和临床表现,结合患者超声心动结果考虑诊断:肥厚梗阻型心肌病患者有明确的室间隔基底段肥厚伴流出道梗阻,跨瓣压差大于50mmHg

明确诊断后,科室专家立即研讨治疗方案。为达到最佳治疗效果,邓小军主任,陈玺全副主任介入团队召集全科同仁术前仔细讨论病例,详细查阅文献,学习相关手术视频,借鉴国内领先介入手段,结合患者的临床特点,在征得患者及家属同意后,决定为该患者实施经皮穿刺室间隔心肌化学消融术。

2020810日,陈玺全副主任带领段青松主治医师在患者局麻,清醒的状态下,顺利完成了手术。手术过程经历近四个小时。术后,患者胸闷、胸痛症状明显好转,未再有晕厥症状出现。复查心脏彩超显示患者左室流出道梗阻症状及二尖瓣反流明显缓解,左心房大小降至正常水平,进一步证实了该手术在肥厚梗阻型心肌病治疗上的有效性。

以往肥厚梗阻性心肌病多以外科手术治疗为主,但外科手术存在手术创伤较大,病人恢复慢,特别是对于高龄心功能差的病人,手术风险更高。经皮穿刺室间隔心肌化学消融术与外科手术治疗相比,并发症少、创伤小、恢复快、住院时间短、花费少,一些有外科手术禁忌的患者也可选择。  

该项技术的实施填补了广元地区介入治疗肥厚梗阻型心肌病的空白,充分体现了市第一人民医院在心脏疾病临床治疗方面的雄厚实力,不仅免去了该类病人开胸治疗的痛苦,还能改善预后,提高生存质量,为肥厚梗阻型心肌病患者带来了福音。

 

 

 

 

 

(术后心脏彩超

 

科普:什么是肥厚梗阻型心肌病呢?

 

这是一种常染色体显性遗传性心脏疾病。特征改变是心室肌肥厚,特别是左室室间隔肥厚,导致左室流出道梗阻,出现心悸心前区乏力、头晕与昏厥心力衰竭呼吸困难严重临床表现。

该病发病率虽然不高,但危害严重,严重者常常发生心源性猝死,给患者及家属带来极大的痛苦。

经皮穿刺室间隔心肌化学消融术其原理是经过微创介入的方法经导管注射无水酒精,栓塞冠状动脉的间隔支,使其支配的肥厚室间隔心肌缺血、坏死,变薄,收缩能力下降,使心室流出道梗阻消失或下降,从而改善肥厚梗阻性心肌病病人的临床症状。

上一篇 下一篇

医院地址: 四川省广元市利州区苴国路中段   

急救电话: 0839-3333333  0839-3302410

咨询电话: 0839-3300000  0839-3303712(门诊时间:8:00-16:30) 13881210072(夜间及节假日)

投诉电话: 0839-3314229(8:00-17:30)  13881210072(夜间及节假日)

市卫健委纪检组举报电话:0839-3223557

版权©2026 广元市第一人民医院

蜀ICP备13011732号-4    川公网安备51080002000042号

网站访问量: 18631321 次


官方微信